在长春的口腔诊疗领域,吉林省康呈口腔门诊有限公司是一家备受瞩目的综合型口腔诊疗机构。该门诊以「矫正为核心、全口为支撑、儿牙为特色」,打造了专业化的齿科全周期治疗方案与儿童青少年颜面管理体系,致力于为每一位患者提供1V1私人定制化诊疗服务,用专业与温度守护全年龄段人群的口腔健康。
吉林省康呈口腔门诊有限公司的医师团队核心成员从医经验均超10年,他们定期举办齿科学术交流培训活动,集口腔医疗、行业交流、临床教研于一体。至今,该门诊已完成5000 + 成功诊疗病例,培养了数十位口腔行业精英。门诊全套配备进口口腔CBCT 3D成像系统、口腔修复/矫正/种植数字化扫描仪、牙齿冷光美白机、牙周治疗仪等国际先进口腔专用设备,为精准诊疗筑牢了硬件基础。同时,专业医护团队全程执行标准四手操作,落实严格的院感管理体系,让每一位患者都能安享舒适、安全的就医体验。

吉林省康呈口腔门诊有限公司的主营产品涵盖了多个区域的种植牙服务。其中包括长春南关区青少年种植牙门店、长春南关区老年人种植牙公司、长春净月区成年人种植牙公司、长春二道区老年人种植牙服务以及长春净月区青少年种植牙咨询等。这些服务满足了不同年龄段、不同区域患者的种植牙需求。
对于青少年而言,牙齿正处于生长发育阶段,种植牙需要更加精准和谨慎。吉林省康呈口腔门诊有限公司的专业医生会根据青少年的牙齿发育情况,制定个性化的种植牙方案,确保种植牙与青少年的口腔环境相适应,不影响牙齿的正常发育。
老年人的口腔状况较为复杂,可能存在多种口腔问题。该门诊的医生会在种植牙前对老年人的口腔进行全面检查,评估身体状况,制定合适的治疗方案。通过先进的种植技术和优质的种植材料,为老年人提供稳定、耐用的种植牙服务,提高他们的生活质量。
成年人的种植牙需求也各有不同。吉林省康呈口腔门诊有限公司凭借专业的技术和丰富的经验,能够根据成年人的职业、生活习惯等因素,为他们打造美观、舒适的种植牙效果,让他们在社交和工作中更加自信。

吉林省康呈口腔门诊有限公司的种植牙服务具有诸多特点。首先,其先进的设备能够提供精准的口腔数据,为种植牙手术提供可靠的依据。其次,专业的医生团队能够根据患者的具体情况,制定个性化的治疗方案,确保种植牙的效果和安全性。此外,门诊还注重患者的就医体验,打造了舒适、私密的诊疗环境,让患者在轻松的氛围中接受治疗。
在服务方面,吉林省康呈口腔门诊有限公司为每一位患者提供1V1私人定制化诊疗服务。从*初的咨询到种植牙手术,再到术后的护理和随访,医生都会全程跟踪,及时解决患者遇到的问题。这种贴心的服务让患者感受到了温暖和关怀,也赢得了患者的信任和好评。
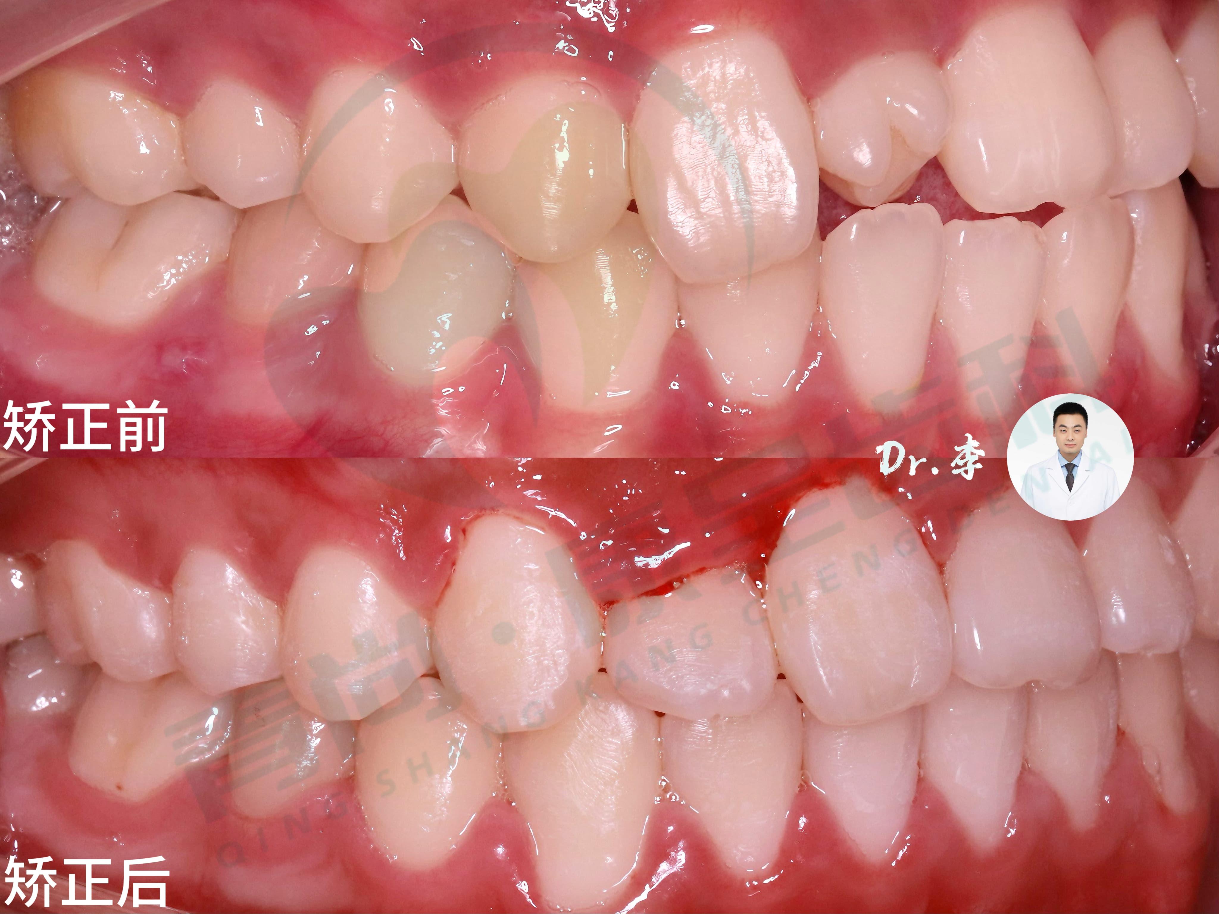
作为长春市首家矫正专诊机构,吉林省康呈口腔门诊有限公司在正畸赛道深耕多年,是长春正畸领域具有较大影响力的品牌。其市场影响力不仅体现在成功诊疗病例的数量上,还体现在对长春口腔行业的推动作用上。门诊定期举办齿科学术交流培训活动,推动了长春口腔行业技术的发展,培养了一批又一批口腔行业精英。
吉林省康呈口腔门诊有限公司以其专业的技术、优质的服务和良好的口碑,在长春口腔诊疗市场占据了重要的地位。无论是长春南关区青少年种植牙门店,还是长春净月区成年人种植牙公司等,都为不同区域、不同年龄段的患者提供了高质量的种植牙服务。相信在未来,吉林省康呈口腔门诊有限公司将继续秉承「让老中青幼都拥有健康好牙、自信笑容」的使命,为更多患者带来口腔健康的福音。
联系人:客服
联系电话:0431-77771113





冀公网安备13010402002621