在长春的口腔医疗领域,吉林省康呈口腔门诊有限公司是一家备受瞩目的综合型口腔诊疗机构。该门诊以「矫正为核心、全口为支撑、儿牙为特色」,打造了专业化的齿科全周期治疗方案与儿童青少年颜面管理体系,为每一位患者提供1V1私人定制化诊疗服务,用专业与温度守护全年龄段人群的口腔健康。
门诊拥有一支经验丰富的医师团队,核心成员从医经验均超10年。他们定期举办齿科学术交流培训活动,集口腔医疗、行业交流、临床教研于一体,至今已完成5000 + 成功诊疗病例,培养了数十位口腔行业精英。

吉林省康呈口腔门诊有限公司的诊疗环境十分舒适。门诊坐落于长春市的核心地段,院内规划多个独立候诊区与专属治疗室,每间诊室都打造了独特的私享风格,*大化保障诊疗私密性,让不同需求的患者都能尊享舒适、安心的医疗服务体验。同时,门诊全套配备进口口腔CBCT 3D成像系统、口腔修复/矫正/种植数字化扫描仪、牙齿冷光美白机、牙周治疗仪等国际先进口腔专用设备,为精准诊疗筑牢硬件基础;专业医护团队全程执行标准四手操作,落实严格的院感管理体系,让每一位患者都能安享舒适、安全的就医体验。
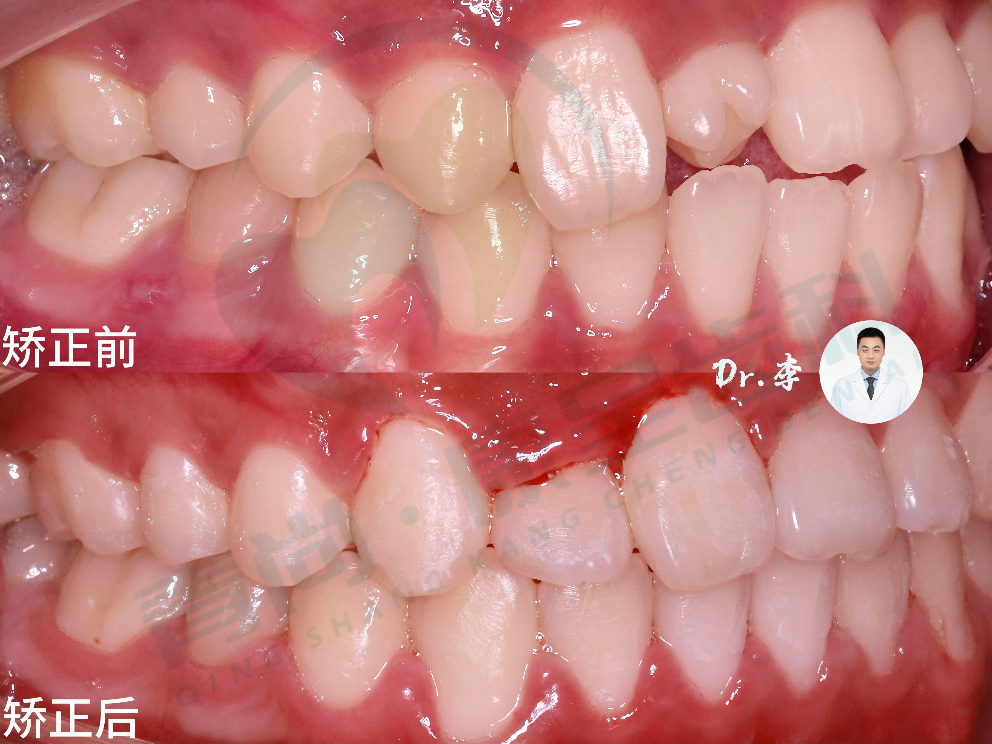
吉林省康呈口腔门诊有限公司主营的产品和服务包括长春二道区成年人牙齿矫正咨询、长春儿童牙齿矫正咨询、长春成年人牙齿矫正服务、长春二道区青少年牙齿正畸门店、长春青少年牙齿正畸公司等。这些服务涵盖了正畸矫正的各个方面,无论是儿童早期干预、成人美学正畸还是骨性畸形矫正等,都能提供专业的解决方案。
对于长春二道区成年人牙齿矫正咨询服务,患者可以在这里获得专业的口腔检查和个性化的矫正方案。医生会根据患者的牙齿情况、面部特征和个人需求,制定出*适合的矫正计划。这种个性化的服务能够确保矫正效果达到*佳,同时也能满足患者对于美观和舒适度的要求。
长春儿童牙齿矫正咨询则针对儿童的特殊需求。儿童的牙齿和颌骨正处于生长发育阶段,早期的干预和矫正对于他们的口腔健康和面部发育至关重要。吉林省康呈口腔门诊有限公司的医生会根据儿童的年龄和牙齿情况,采用合适的矫正方法,帮助儿童养成良好的口腔习惯,预防和纠正牙齿畸形。
长春成年人牙齿矫正服务则为成年人提供了重拾自信笑容的机会。随着生活水平的提高,越来越多的成年人开始关注自己的口腔健康和美观。吉林省康呈口腔门诊有限公司采用先进的矫正技术,如隐形矫正等,让成年人在矫正过程中更加舒适和美观,不影响日常生活和工作。
长春二道区青少年牙齿正畸门店和长春青少年牙齿正畸公司,为青少年提供了专业的正畸服务。青少年正处于生长发育的关键时期,牙齿和颌骨的可塑性较强,此时进行正畸治疗能够取得较好的效果。门诊的医生会根据青少年的特点,制定个性化的正畸方案,帮助他们拥有整齐美观的牙齿。

除了正畸矫正服务,吉林省康呈口腔门诊有限公司还提供口腔种植、儿童齿科、牙周治疗、牙齿美白、牙体修复、根管治疗、智齿拔除等全品类口腔诊疗服务。特色领域的儿童青少年颜面管理体系,更是为儿童和青少年的口腔健康和面部发育提供了全面的保障。
吉林省康呈口腔门诊有限公司以其专业的医疗团队、先进的设备、舒适的诊疗环境和个性化的服务,在长春口腔医疗市场中占据了重要的地位。无论是长春二道区成年人牙齿矫正咨询,还是长春儿童牙齿矫正咨询等服务,都受到了患者的广泛好评。如果您有口腔方面的需求,不妨来到吉林省康呈口腔门诊有限公司,体验专业的口腔诊疗服务。
联系人:客服
联系电话:0431-77771113





冀公网安备13010402002621